服务时间:
09:00-18:00 (周一至周六上班,周日休息)
关注我们 :
扫描二维码
加茉莉官方微信
收藏茉莉
|
申请试做
|
联系茉莉
|
网站地图
|
浏览旧版
0755 23616548
茉莉首页
眼部汗管瘤
青春痘
睑黄瘤
扁平疣
成功案例
案例一类
关于茉莉
茉莉简介
专家推荐
资质荣誉
联系茉莉
来院线路
申请试做
Tag标签 :
汗管瘤去除费用
中药治疗汗管瘤
去除汗管瘤首选方法
智能分子疗法
治疗汗管瘤需要多少钱
深圳茉莉
医疗资质
汗管瘤治疗方法
如何根治汗管瘤
根治汗管瘤的方法
祛除汗管瘤
脂肪粒
汗管瘤
汗管瘤如何去除
扁平疣
怎么彻底治好汗管瘤
眼部汗管瘤
青春痘
睑黄瘤
扁平疣
活动优惠
[更多]
专家推荐
[更多]
深圳茉莉生物科技田医生
田医生
深圳茉莉田医生,擅长汗管瘤,扁平疣,青春痘,痤疮,睑黄瘤,皮肤暗黄,毛孔粗大等面部皮肤问题的祛除及改善。
查看更多
1
成功案例
[更多]
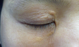
项目:眼部汗管瘤
他们用中药祛除的,过程和激光不同。不用敷麻药,也没有感到痛。做完没有伤口,跟没做之前一样,回家一个月后才慢慢一点点变好。在这期间可以随意外出,也可以洗脸,不像激光那样需要避水很久。
项目:眼部汗管瘤
汗管瘤基本都好啦,靠近看的话还可以看到一丢丢没有消,等到孩子奶奶放假过来带孩子,过去复诊一次就好啦。
项目:眼部汗管瘤
汗管瘤真的很讨厌,茉莉研究院真的治疗的很好很专业,我很庆幸自己找对了地方,希望更多汗管瘤的患者能找对地方而不是花了钱也受了罪也没能得到治疗效果。
他们都选择了茉莉,听听他们怎么说
[更多]
关于汗管瘤的十大真相
关于汗管瘤的知识科普及正确的方法
[详细]
汗管瘤真实客户反馈,茉莉智能分子技术
[详细]
汗管瘤结块还能好吗?这位新疆姑娘用亲身经历告诉你答案
这位女士在新疆,不仅眼部周围长汗管瘤,耳后、颈部也长了许多汗管瘤疙瘩,之前用激光做过一次眼部汗管瘤疙瘩,但没能治好还留了疤。后来在网上无意了解到深圳茉莉院做汗管瘤效果很好,她在茉莉院山东出巡时做了一次,结块汗管瘤消退许多。
[详细]
用什么方法祛除汗管瘤效果好?九岁女孩用亲身经历告诉你
福建龙岩一位九岁的小女孩,她是不幸的。脸上不但长汗管瘤,还长有毛发上皮瘤。经过朋友介绍,才找到深圳茉莉院做好毛发上皮瘤和汗管瘤。
[详细]
疗效保障
与来院的汗管瘤朋友进行签约,保障汗管瘤效果,无效全额退款,且享有2-10年的免费跟踪期。
专家保障
您可预约经验丰富的皮肤问题专家田医生亲自给您制定解决方案,具有20多年汗管瘤案例经验。
技术保障
由5年以上经验的操作师亲自为您操作,技术熟练精湛,更加安全,不留疤。从根部消退瘤体,不易复发。
优势一
涂抹技术操作,从根部消退干净
采用“智能分子技术”消退汗管瘤,从根部消退干净,有效预防汗管瘤易复发的问题。
优势二
植物配方,更安全
做汗管瘤期间,使用到的配方均为纯植物提取成分,温和无副作用,准确的作用在问题皮肤局部,避免损伤真皮层以及周围健康皮肤,有效祛除汗管瘤并且不会留疤,还你光滑美丽的肌肤。
优势三
专家经验,操作更精确
经验丰富的专家,对不同体质及不同类型的汗管瘤朋友,针对性辩证治疗,重点解决,给你较优的方案和满意的效果。
优势四
口碑好,治疗案例多
汗管瘤案例已达几万余例,在业内疗效口碑佳。经验是由案例而增长,茉莉院的田医生在汗管瘤祛除领域里面经验丰富,对不同类型,不同皮肤,不同严重度的汗管瘤都有比较清晰的方案制定,可达到较佳的消退汗管瘤效果。
茉莉新闻
[更多]
19
2022-08
汗管瘤的DIY方法(上)
在家就可以操作的能够改善汗管瘤情况的方法推荐
30
2022-04
关于汗管瘤的三大误区
关于汗管瘤的误区的解答,关于汗管瘤是否是汗腺堵塞、是否复发,电解和电离等的区别。
31
2022-03
汗管瘤形成的原因
汗管瘤与遗传、荷尔蒙、人种、生活作息的关系
23
2022-03
汗管瘤和脂肪粒的区别
汗管瘤和脂肪粒是完全不同的,正确的区别汗管瘤和脂肪粒,才能找到最佳的祛除办法。
资质荣誉
[更多]
卫生许可证
茉莉院的营业执照
卫生局颁发的证件
医疗机构执业许可证
荣誉证书
友情链接
电话:
0755 23616548
手机:
13556896009
QQ:1628444069